心エコーグループ
心エコー検査は、非侵襲的に心臓の形態や動きをリアルタイムに観察することができます。すべての心疾患において重要な検査であり、診断、治療効果判定に役立つモダリティとなっています。当院では、年間約9000件の経胸壁心エコー検査を行っており、急性心筋梗塞、心不全、弁膜症、心筋症、感染性心内膜炎、肺血栓塞栓症、先天性心疾患などさまざま疾患の診断や治療効果判定を行っています。また、他科の術前のスクリーニング検査などにおいても重要な役割を果たしています。簡便で、非侵襲的であり、循環器診療において重要な検査です。経食道エコー検査
経食道エコー検査は、食道にエコープローブを挿入し、食道からビームを当てて心臓を描出し評価する検査です。体表からは評価の難しい部位の評価を行うことができます。僧帽弁の形態の評価、左房内の血栓の評価、卵円孔開存の有無、感染性心内膜炎の評価など、経食道エコー検査で得られる情報は多くあります。当院では、年間約150件程度の経食道エコー検査を行っております。近年、3Dエコーも解像度が改善されてきており、僧帽弁逸脱症の逸脱部位の判定など、外科医へ詳細に弁形態の情報を伝えることが可能となっております。負荷エコー
安静時に重症の弁膜症が明らかではない場合でも,心不全を来すなど、重症の弁膜症が背景にあると考えられる症例が存在します。大動脈弁狭窄症において、手術適応を判定するためのドブタミン負荷エコー、僧帽弁閉鎖不全症に対して、負荷で逆流が増えるか判定するためのハンドグリップ負荷エコーなどを行う場合があります。そのほか、虚血の評価を目的としてやドブタミン負荷エコーを行う場合もあります。当院では、必要に応じて、血圧や脈拍をモニタリングしながら負荷エコーを行って治療適応の判定を行っております。
カテーテル治療
経カテーテル大動脈弁置換術(TAVI):
当院では、ご高齢の方で、重症の大動脈弁狭窄症がある方に対し、TAVIを行っております。術中は、経食道エコー検査を行いながら、カテーテルやワイヤーの走行の確認、ガイドを行います。人工弁留置直後の大動脈弁逆流の評価、心嚢液貯留など合併症の有無の評価を即座に行います。WATCHMAN手術:
脳梗塞予防のために、抗凝固療法を行わなければならない患者さんにおいて、同時に出血のリスクも高い方に対して、左心耳閉鎖術の適応があります。経カテーテル的に、血栓ができやすい左心耳に栓をする治療となります。本治療において、経食道エコー検査を行い、デバイスの大きさの選択、術中のワイヤーやデバイスの位置の確認、留置後の合併症の有無、デバイスの位置の確認、血液のリークの有無の評価などを行います。上記のように、さまざまなカテーテル治療において、術中の経食道エコー検査は重要な役割を果たしております。今後もカテーテル治療の適応疾患は広がっていくことが考えられ、治療におけるエコー医の役割も重要なものとなっております。

エコー室

経食道エコー検査

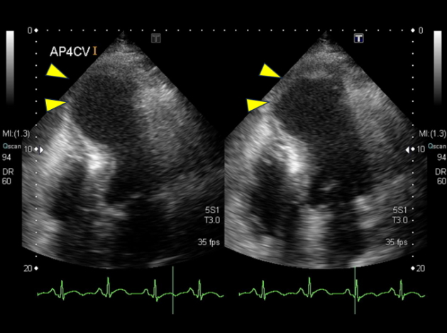
心筋梗塞による心室瘤

心臓腫瘍(左房粘液腫)

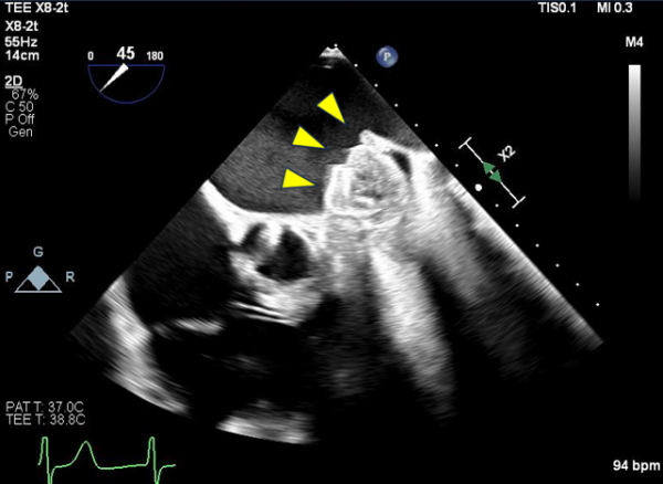
僧帽弁逸脱症(僧帽弁後尖の逸脱)

感染性心内膜炎(疣贅と僧帽弁の穿孔)

WATCHMAN手術(左心耳のデバイス)