不整脈グループ
近年、不整脈に対するカテーテルアブレーション治療は急速な進歩を遂げており、当科においても平成31年(2019年)より本格的に不整脈診療体制を強化し、令和7年(2023年)3月にはアブレーション症例数が累計1,500例を超え、現在も着実に症例を重ねております。
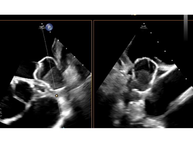
当グループでは、アブレーション治療における質と安全性を最優先としつつ、積極的に新技術を取り入れています。全症例の約7割を占める心房細動に対しては、CARTOおよびEnSite NavXなどの3Dマッピングシステムを駆使し、高周波アブレーション、クライオバルーン、レーザー、ホットバルーンといった多様なエネルギーデバイスを適切に選択しています。特に持続性心房細動に対しては、左房基質に対する周波数解析、エクストラマッピング(ExTRa Mapping)によるローターの同定、CARTO FINDERによるトリガーの同定などに基づき、患者ごとに最適化された戦略的アプローチを行っています。さらに、マーシャル静脈という細い血管にエタノールを注入するケミカルアブレーションを行い、難治性心房細動の治療成績向上につなげてます。また、近年導入されたパルスフィールドアブレーション(PFA)は、周囲組織への影響を最小限に抑えつつ心筋細胞を選択的に電気的不可逆変性に導く次世代エネルギー源として注目されており、当科でも積極的な導入と技術検証を進めています。

VARIPULSE

PULSE SELCT

QDOT MICROカテーテル
心室性不整脈に対しては、虚血性心疾患に伴う心室頻拍をはじめ、非虚血性心筋症における心室頻拍や心室細動に対し、心内膜・心外膜からのアブレーションを実施しています。必要に応じて、経皮的心膜穿刺アプローチも併用しており、複雑症例に対しても包括的な対応が可能です。また、突然死予防目的に植え込み型除細動器、心不全合併例に対しては心臓再同期療法も行っており、デバイス治療にも積極的に取り組んでいます。
徐脈性不整脈に対しては、従来型ペースメーカに加え、リードレスペースメーカ(Micra™)を導入しており、高齢者やリード感染リスクのある患者に対して有用な選択肢を提供しています。加えて、脳梗塞予防を目的とした左心耳閉鎖術(Watchman™など)も施行可能であり、抗凝固療法が困難な患者への代替治療としての役割も果たしています。

Watchman

今後も当グループでは、薬物療法、アブレーション、デバイス治療、外科的選択肢までを含めたトータルな不整脈マネジメントを提供し、個々の症例に応じた最適な治療を追求してまいります。臨床実績と研究活動を両輪としながら、質の高い不整脈診療を目指してまいります。






